審美歯科・ホワイトニング
審美歯科・ホワイトニング症例
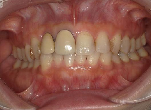
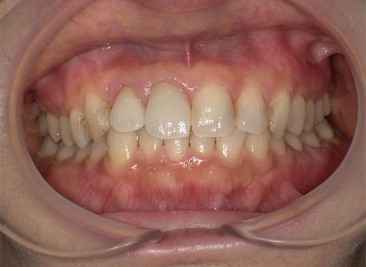
症例1
患者様の悩み:歯肉の色が気になる。
年齢:50代
性別:女性
治療内容:セラミック
治療費:11万円×2(税別)
治療でえられるメリット:見た目の改善
治療前

![]()
治療後

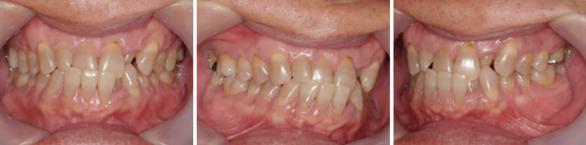
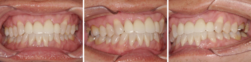
症例2
患者様の悩み:見た目が気になる。歯並び、歯も白くしたい。
年齢:50代
性別:男性
治療内容:ホワイトニングとセラミック
治療費:84.8万円(税別)
内訳 ホワイトニング:1.8万円(税別)
替えのホワイトニング:3万円(約半年)(税別)
セラミック(8本分):80万円(税別)
治療でえられるメリット:口腔内が明るくなった。見た目、歯並びの改善
治療前

![]()
治療後

美しいスマイルをあなたに
保険治療には国の定めた厳しいルールがあり、使用する材料が決められています。
より美しいスマイルを求める方へは、このような治療もあります。
その代表的な審美治療をご紹介します。
20代女性
笑うと金属が見えて気になる。
白い詰め物に変えました。
大変満足していただけました。
20代女性
大きな金属だけでも白くしたい。
まずはここのみ白くしました。
長年のコンプレックスから開放され喜んでいただけました。
40代女性
保険の前歯を入れていましたがよりキレイにしたい。
周囲の歯との色調を考え自然な仕上がりになりました。
違和感のない透明感のある前歯になり大変満足していただけました。
今の歯の状態により治療方法が異なります。
全体のバランスと歯の健康を考え適切なアドバイスと治療プランをご説明しております。
セレック治療 短期間でできるセラミック
最近テレビなどのメディアで取り上げられるようになったセレック治療。当院でも取り入れているこの治療法を、ここで詳しくお教えします。
今まで期間がかかっていた被せ物が短期間ででき、ケアさえすれば二次的な虫歯になりにくい!
そんな治療法があるのです。
セレックとは、医療先進国のドイツからやってきた
コンピュータによって歯の被せ物(セラミック)を
設計・製作する機械で行う治療方法です。
セラミックで出来たブロックを削り出し被せ物を作成します。
セレックでの治療がそこまでいいと言われている理由。
セレック治療でのメリットをお教えします。
従来の虫歯治療では、一般的に銀歯が使われていましたが、セレックではセラミックを使います。銀歯は実際のご自身の歯よりも固い素材で出来ています。
普段の食事などでご自身の歯は、すり減っていくものなのですが、銀歯はすり減らない為銀歯とご自身の歯の間にだんだんと隙間が生じその隙間から二次的に虫歯が進行してしまうのです。
その点セレックは歯とほぼ同じ固さの素材で出来ている為大人の虫歯の原因のほぼ大半に当たる二次的な虫歯になりにくいのです。
銀歯を入れる際の歯の型取りでは、
①歯型を粘土の様な物で取る、
②取った歯型に石膏を流して模型にする、
③その模型をもとに歯科技工士が銀歯を製作する、
という工程があります。
その3つの工程の度に実際の歯の形との差が生じてしまいます。
その点セレックでの型取りは、
①歯を専用カメラでスキャンする、
②コンピュータで設計・製作する、
といった工程なのでほとんど実際の歯の形との差ができないのです。
セレックは、歯の型取りから製作まで全てコンピュータが行います。
セラミックのブロックを機械がその場で削り出してくれるため、歯科技工所に出す手間がなく、歯を削ってからセラミックのセットまで短期間で出来ます。
セレックで使用するセラミックブロックには色があります。
歯科医師がその人の歯の色に合わせたブロックを選び自然に近い色で仕上げます。
ただし、削る前の様な自然な歯の色を求められる場合には、さらに上の上質な被せ物ができますのでご相談下さい。
セラミック治療は、以前は小さな物でも5万円~が相場でした。
それは、銀歯の治療と同じように歯型を取って歯科技工所に出すという手間がかかっていましたが、セレック治療では全てその場で機械が行ってくれるので手間がかからず安価にできるようになりました。
虫歯の箇所を削り虫歯を取り除きます。
口腔内3D光学カメラを使用して患部を撮影します。
コンピュータの3D画面上で修復物を設計してミリングマシンと呼ばれる機械がセラミックのブロックを精密に削りだします。
口腔内にセットして噛み合わせの最終調整をして治療終了です。
ホワイトニングのご紹介
あなたの歯はどれ?
ご自宅でホワイトニングを行なう方法です。
はじめに歯型を取りマウスピースを製作します。
そのマウスピースとホワイトニングのキッドをご自宅に持って帰っていただきご自分でマウスピースの中にホワイトニングの薬剤を入れ歯に装着していただきます。
およそ1∼3週間くらいでホワイトニングの効果が現れます。
2回の来院でホワイトニングが開始できます
トレーです。ここにジェルを入れます。
歯を削らずに白くします。
来院回数が少なくてすみご自宅で自分の空いている時間に気軽にできます。
又、歯科医院で数回通っていただいて行うホワイトニングより、知覚過敏がおこりにくいことがあります。
ご自分で毎日ホワイトニングを行うのでやや面倒なこと、又、ホワイトニングの効果が現れるのに時間のかかることがあります。
上下でトレー×2コ
ジェル4本で19,800円(税込)


